°øÁö»çÇ×

 

±Í Áúȯ 

ÄÚ Áúȯ 

±¸°­·ÀÎÈĵΠÁúȯ 

µÎ°æºÎ Áúȯ 

 

»çÁøÀ¸·Î º¸´Â Ä¡·áÁ¤º¸
»çÁø°ú ºñ½ÁÇÑ Áõ»óÀ» °Þ°í °è½ÅÁö »ìÆìº¸¼¼¿ä.

±ÍÁúȯÄÚÁúȯ±¸°­, ÀÎÈĵΠÁúȯµÎ°æºÎ Áúȯ

ã¾Æ¿À½Ã´Â ±æ ¾È³» ¹Ù·Î°¡±â

Ä¡·áÁ¤º¸ > »çÁøÀ¸·Îº¸´Â Ä¡·áÁ¤º¸ > ±¸°­, ÀÎÈĵΠÁúȯ

  

ÃâÀå¾È¸¶,ÃâÀ帶»çÁö,ÃâÀåȨŸÀ̹ٳª³ªÃâÀå¾È¸¶ ÃâÀ帶»çÁö ¼­ºñ½º
Total 37
Á¤»ó ÈĵÎ
ÈÄµÎÆú¸³
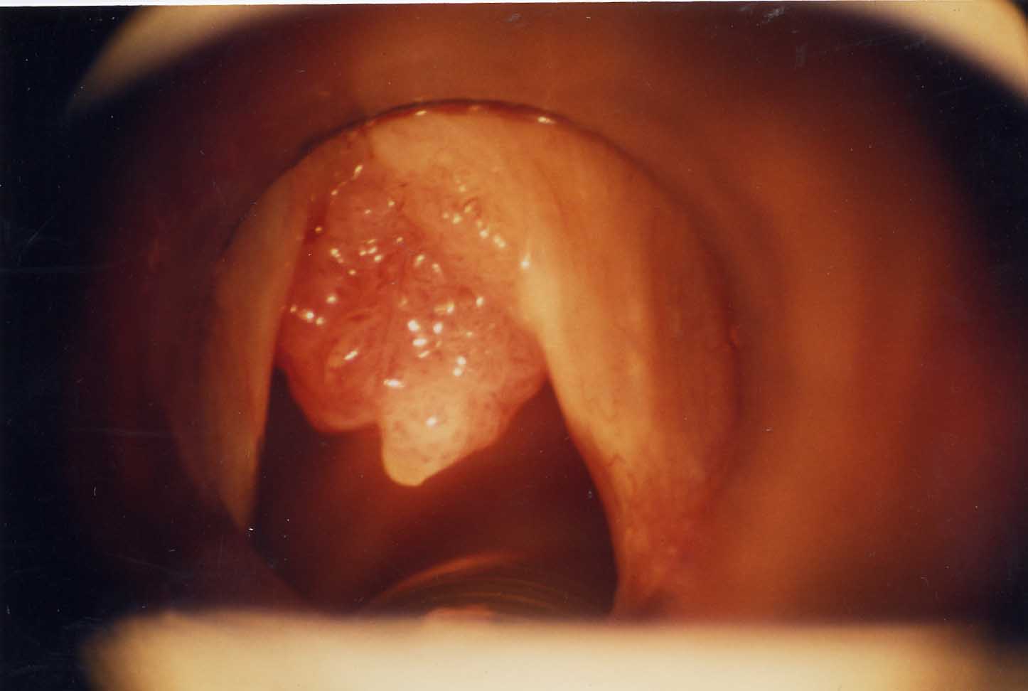
Á¢Ã˼ºÀ°¾ÆÁ¾
°Å´ë ÈÄµÎÆú¸³
ÈÄµÎÆú¸³
ÈÄµÎÆú¸³
ÈĵΠÆú¸³
ÈĵΠÆú¸³
ÈÄµÎÆú¸³
ÈĵΠÀ¯µÎÁ¾
ÈĵÎÀ¯µÎÁ¾
ÈĵξÏ
ÈĵξÏ
¼º´ë³¶Á¾
¼º´ë°¢È­Áõ
Çô Ç÷°üÁ¾
 
 
 1  2  3  
and or